V Iranu kirurško odstranili 90 paketov droge iz želodca in črevesja pacienta
kriminal zdravstvo

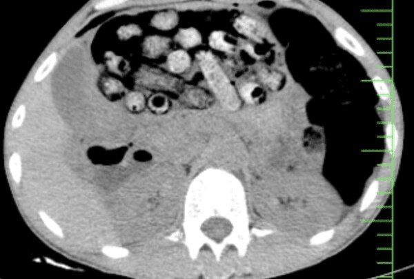
V Iranu kirurško odstranili 90 paketov droge iz želodca in črevesja pacienta

Univerza za medicinske znanosti Alborz je v mestu Karadž v Iranu sporočila, da so iz želodca in črevesja pacienta kirurško odstranili 90 paketov prepovedane droge.

Podobni članki

V Bukarešti umrla dveletna deklica po anesteziji v zobozdravstveni ambulanti
lokalne novice zdravstvo
V Bukarešti umrla dveletna deklica po anesteziji v zobozdravstveni ambulanti

14. nov 10:05

V Bukarešti je v zobozdravstveni ambulanti umrla dveletna deklica po srčnem zastoju, ki je nastopil med posegom pod anestezijo. Mati deklice trdi, da je bila o dogodku obveščena šele eno uro po dogodku, reševalno vozilo pa naj bi prispelo uro in pol po incidentu. Starši krivijo zamudo pri obveščanju in zdravljenju za smrt otroka, ki je umrl po navidezno enostavnem posegu.

V Romuniji izbruhnil škandal med predsednikom Društva za anesteziologijo in intenzivno terapijo in zdravnikom Iuliujem Torjejem
zdravstvo
V Romuniji izbruhnil škandal med predsednikom Društva za anesteziologijo in intenzivno terapijo in zdravnikom Iuliujem Torjejem

16. nov 17:29

Predsednik Romunskega združenja za anesteziologijo in intenzivno terapijo, Şerban Bubenek, je zahteval, da se zdravnika Iuliuja Torjeja razglasi za persono non grata na vseh dogodkih, ki jih organizira Univerza za medicino in farmacijo »Carol Davila«, ker naj bi ta očrnil in žalil romunske zdravnike. Torje je zaradi konflikta odstopil s položaja svetovalca.

Entitete in sentiment

Entiteta Sentiment
Univerza za medicinske znanosti Alborz nevtralno
Karadž nevtralno
Iran nevtralno

Zakaj je novica relevantna za Slovenijo

Dogodek se je zgodil v Iranu, vendar kaže na globalni problem tihotapljenja drog, ki lahko posredno vpliva tudi na Slovenijo.